A 32-year-old teacher, who appears to have a normal weight and maintains seemingly healthy eating habits, was recently diagnosed with type 2 diabetes. Recent research highlights that she is not an isolated case.
New research published in *Diabetologia* reveals that type 2 diabetes can occur in individuals with normal or even below-normal Body Mass Index (BMI). In many Asian and African populations, between 24% to 66% of diabetes cases are found in individuals who are not overweight or have a normal weight.
While the rate of diabetes in normal-weight adults is lower than in overweight or obese adults, it is on the rise. This suggests that although being overweight is a significant risk factor, it is not the sole contributor to the condition.

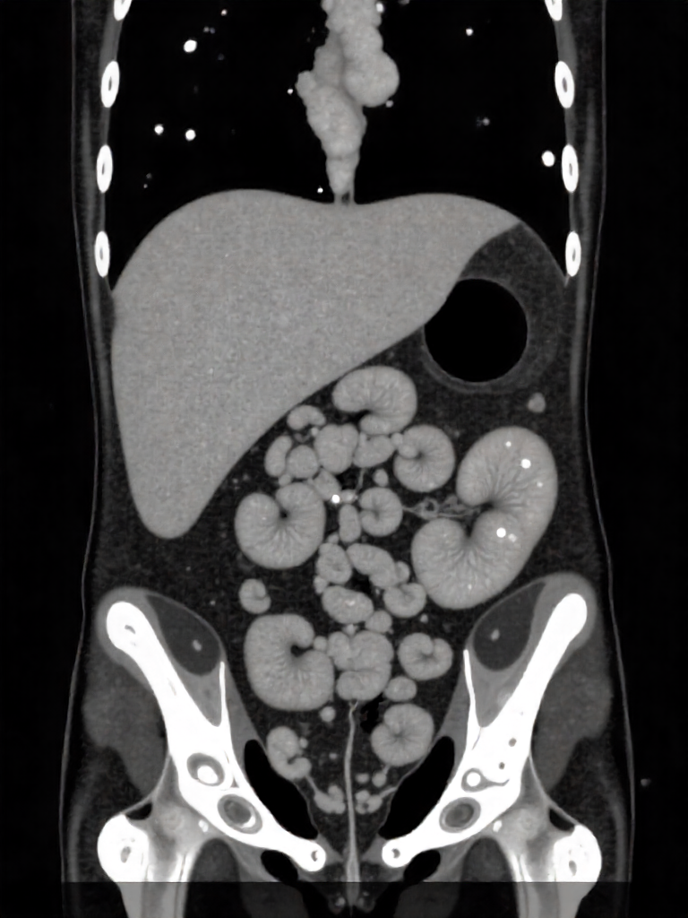
Fat distribution, particularly visceral fat stored around organs or within the liver and pancreas, can lead to insulin resistance or impaired insulin secretion, even in individuals with a normal BMI. Studies utilizing imaging techniques (CT scans) have shown that individuals classified as “lean” with type 2 diabetes often exhibit abdominal fat patterns comparable to those in overweight individuals, such as increased visceral fat, altered muscle fat content, or pancreatic fat accumulation.
The “metabolically unhealthy normal weight” (MUNW) phenotype indicates that some individuals with a normal BMI may still experience insulin resistance, elevated fasting glucose levels, abnormal lipid profiles, or high inflammation markers, which are known risk factors for diabetes but may go unnoticed due to their normal weight.
Modern diets often include ultra-processed foods that, while low in visible sugar, are packed with additives, refined carbohydrates, and unhealthy fats, which can disrupt metabolic health. A recent study from *The Journal of the Academy of Nutrition and Dietetics* found that higher consumption of ultra-processed foods is associated with poorer blood sugar control (higher HbA1c levels), even among those not consuming large amounts of sugary treats.
Other foods commonly recommended for diabetes prevention include white bread, pastries, pre-packaged meals, and takeout options, as well as sugary drinks like fruit juices, energy drinks, and flavored milk.
The 32-year-old teacher, who appears slim and healthy, prepared her own meals but consumed numerous pastries without realizing they were causing blood sugar spikes. Her experience serves as a reminder that health extends beyond physical appearance.